Par la Dr Cécile Farges.

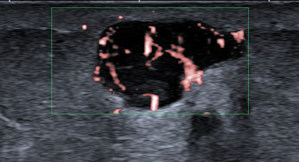
Métastase sous-cutanée de mélanome, vascularisée, dépistée en échographie
L’onco-dermatologie concerne la prise en charge des cancers cutanés, en particulier le mélanome, les carcinomes cutanés à risque, les sarcomes des tissus mous. L’imagerie médicale y joue un rôle essentiel, pour l’évaluation locorégionale, la stadification, l’aide à la décision thérapeutique et le suivi, en complément de l’examen clinique et de l’analyse histologique.
Imagerie du diagnostic et de l’extension locale
L’IRM intervient précocement dans les carcinomes avancés et les sarcomes pour caractériser l’extension en profondeur et les rapports anatomiques : dans les localisations complexes (face, cuir chevelu, régions péri-orificielles) ou en cas de suspicion d’extension profonde, musculaire, osseuse ou périnerveuse.
Exploration ganglionnaire
L’atteinte ganglionnaire conditionne fortement le pronostic, notamment dans le mélanome et les carcinomes épidermoïdes à haut risque.
L’échographie ganglionnaire est l’examen le plus performant, permettant l’analyse morphologique (forme, hile, cortex) et le guidage de micro-biopsies. Si l’échographie est normale, la technique du ganglion sentinelle est parfois proposée.
Bilan d’extension à distance
Pour les formes localement avancées ou métastatiques :
🔹TDM thoraco-abdomino-pelvienne ou TEP-TDM au FDG : recherche de métastases pulmonaires, hépatiques, osseuses etc.
🔹IRM cérébrale : systématique dans le mélanome localement avancé.
Imagerie et évaluation thérapeutique
Les traitements systémiques (immunothérapie, thérapies ciblées) imposent une évaluation radiologique rigoureuse :
🔹Utilisation des critères RECIST, avec prudence sous immunothérapie (pseudo-progression),
🔹Apport de la TEP-TDM pour l’évaluation métabolique de la réponse.
L’imagerie permet également de détecter les complications et toxicités liées aux traitements (atteintes pulmonaires, digestives, endocriniennes).
Suivi et perspectives
Le suivi repose sur une imagerie adaptée au stade et au risque évolutif. Les développements récents incluent l’échographie ultra-haute fréquence, l’imagerie fonctionnelle et l’intégration croissante de l’intelligence artificielle pour l’aide à l’analyse et à la stratification pronostique.
En onco-dermatologie, l’imagerie médicale est un outil central pour la stadification, l’orientation thérapeutique et le suivi. Son intégration dans une approche multidisciplinaire est indispensable pour une prise en charge optimale et personnalisée des cancers cutanés.
